Practice 3.2 Chromosomes with authentic IB Biology exam questions for both SL and HL students. This question bank mirrors Paper 1A, 1B, 2 structure, covering key topics like cell biology, genetics, and ecology. Get instant solutions, detailed explanations, and build exam confidence with questions in the style of IB examiners.
Which sex chromosome(s) can be found in a human ovum?
Which is a characteristic of the pairs of sister chromatids that are visible during meiosis?
What is a difference between two alleles of a gene?
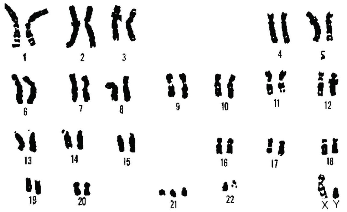
The image shows the chromosomes from a body cell of an adult human.
[Source: https://wccyusoueahdpdicsyrg.supabase.co/storage/v1/object/public/question-images/images/687f64f2-ce1c-44ad-993e-529a50a81c28.jpg, U.S. Department of Energy Human Genome Program.]
Identify, with a reason, the sex of this individual.
Identify the chromosome that is affected by a trisomy in this individual, naming the condition that this trisomy gives rise to.
Which individuals are colour blind in this Punnett grid?
A human cell has between 20000 and 25000 genes whereas an E. coli cell has approximately 4000 genes. Which of the following statements is true?
What are chromosomes with the same size, banding pattern, centromere location but with different alleles called?
John Cairns used the technique of autoradiography to produce photographs of DNA from the bacterium E. coli.

Which conclusion was drawn from his experiments?
For what purpose is a karyogram used?
Where can the entire genome of an organism be found?