Practice 1.2 Ultrastructure of cells with authentic IB Biology exam questions for both SL and HL students. This question bank mirrors Paper 1A, 1B, 2 structure, covering key topics like cell biology, genetics, and ecology. Get instant solutions, detailed explanations, and build exam confidence with questions in the style of IB examiners.
In mammals, mature red blood cells are specialized in that they lack nuclei, mitochondria or ribosomes. Which statement applies to red blood cells?
The images are microscopic views of two similar cells.
What is a reason for the differences between the two micrographs?
The electron micrograph shows palisade mesophyll cells.
State the name of the structures labelled I and III.
Distinguish between autotrophic nutrition and heterotrophic nutrition.
Outline the function of the structure labelled I.
The plant from which this cell was taken is in the group angiospermophyta. State one characteristic that is unique to this group of plants.
Explain how energy and nutrients are transferred in ecosystems.
Which one of the following has 2 circular DNA?
The image shows part of a plant cell with a chloroplast in close proximity to mitochondria.
State two structural similarities between mitochondria and chloroplasts.
Compare and contrast mitochondria and chloroplasts in terms of the substrates they use and the products they produce.
Outline how the compounds produced by chloroplasts are distributed throughout the plant.
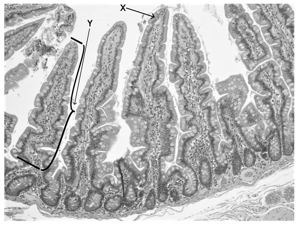
The micrograph shows a section of an organ in the human body. ![]
State from which organ the section was taken.
Identify the layer of tissue found at X.
The actual length of the structure labelled Y is 0.8 mm between the two black lines. Calculate the magnification of the micrograph. Working should be shown.
Which of the following features are present in prokaryotic cells?
The electron micrograph shows part of a cell including a mitochondrion. 
Outline how the structures labelled X and Y are adapted to carry out the function of the mitochondrion.
Explain how ATP is generated in mitochondria by chemiosmosis.
Which of the following features are present in prokaryotes and eukaryotes?
| I | II | III |
|---|---|---|
| cell membrane | nucleus | 80S ribosomes |
Which organelle is involved in generating vesicles destined for the cell membrane?